忍者ブログ
僕パパになります?
男の育児をだらだらと・・・
GOOD ITEM
GOOD ITEM

[プレスブログ]価値あるブログに掲載料をお支払いします。

PROFILE
HN:
たんたん
性別:
男性
自己紹介:
新潟の佐渡島にて育児にアタフタ

娘:のんのん
'07/10/18生まれの癇癪持ち

息子:ハル
'08/12/23 天皇誕生日生まれ

使用機器
ニコン D70
Nikon Ai AF Nikkor 50mm F1.8D
 
Nikon Ai AF Nikkor 35mm F2D
Nikon Ai AF Nikkor 24mm F2.8

SEARCH
CALENDAR
12 2026/01 02
S M T W T F S
1 2 3
4 5 6 7 8 9 10
11 12 13 14 15 16 17
18 19 20 21 22 23 24
25 26 27 28 29 30 31
amazon
×

[PR]上記の広告は3ヶ月以上新規記事投稿のないブログに表示されています。新しい記事を書く事で広告が消えます。

にほんブログ村 子育てブログへ ポチッっとしてくれると嬉しいです!

仕事終わりに、入院中の嫁を見舞う。
やつれた顔のまま、点滴を打っている。

一日で10本の点滴を打ったとかで、一応吐き気はちょっと治まったっとのこと。
夕飯は食べれなかったとのことらしいけど、何はともあれ一安心・・・なのか。
1週間の入院と言うのも長ければ・・・っと言うことらしい。


しかし、病院の中も、婦人科だけは、これから産まれる生命の光みたいなのを感じる。
見舞いに来てる人たちの顔も、喜びの顔が目立つ。
辛くての入院だったけど、ちょっとだけ嬉しさを分けてもらった気分です。


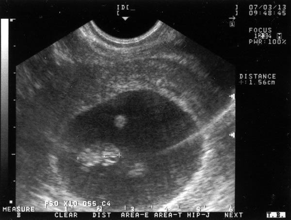
診断時に撮ってもらったエコー。
小さな命はちょっとずつですが、大きくなっています。
070313.jpg

















ただ今1.56cm・・・
ちっさいなぁ、爪の先くらい・・・ですか?

PR

にほんブログ村 子育てブログへ ポチッっとしてくれると嬉しいです!

DSC_8150.jpg















毎日、「ツワリで気持ち悪いぃぃ」っと睨む嫁。
そんな、コッチを睨まれてもねぇ・・・なんて感じの毎日。

ツワリで気持ち悪いのはわかるけどさぁ、しょうがないじゃん!なんて気分。


なんて思っていると、ある夜「今日は特に気持ち悪い」と言い出す。
「あぁ、今夜も気持ち悪いのね・・・」

夜中もずっと気持ち悪かったらしく、何度も起きては吐くの繰り返しだったらしい。
らしい、と言うのは私は熟睡してたもので・・・(;^_^A アセアセ・・・
いや、夜中何度か起こされて、「気持ち悪いぃぃ」っと言われたので、知ってはいたんだけど、
「どうしようもないじゃんか!」
っと、切れ気味なオイラ。


しかし、その晩のツワリはかなり酷かったらしく、朝になるとやつれて、蒼白な顔の嫁が。
さすがに、これはヤバイかも・・・・っと「病院に行く?」っと聞くと頷く嫁。

オイラは仕事なので、実家のお母さんに病院に連れて行ってもらうことに。

仕事中、連絡が入り1週間ほど入院することになったと言われる。
・・・そんな状態だったなんて・・・。

妊娠にツワリはつき物。 どうしようもない。我慢するしかない!
っと思っていたオイラでしたが、ちょっと優しさが足りなかったかなぁ・・・っと反省。

にほんブログ村 子育てブログへ ポチッっとしてくれると嬉しいです!

妊娠が発覚してから、嫁はツワリが酷い。

ツワリの辛さは、男には分からない。
「二日酔いの朝位?」っと聞くと、もっと辛いと言う。

しかも、それが一日で終わるのではなく、毎日襲ってくるのだと言う。
うーん。 オイラには無理かも・・・。

数日すれば、身体が慣れてきて落ち着くのかとも思ったけど、数日たっても一向におさまらず。
ネットでツワリについて調べる。

ツワリ対策・・・、ってないじゃーん。
小まめに物を食べる・・・・くらい。
しかも、ツワリって妊娠4ヶ月くらいまで続くとか・・・・(´Д`|||) ドヨーン
嫁も辛いだろうけど、傍にいるコッチも見てるのが辛いっす。


参考になるか、わからないけど、うちの母に聞いてみるかなぁ・・・っと聞いてみると、
私の妹がお腹にいる時はツワリがかなーり酷かったらしい。
なので、注射を打ってもらったのだとか。(へぇ、そんなのがあるんだ!)

嫁「その注射って打っても大丈夫なんですか?」

母「うん、打つと流産する可能性が高いって言われたけど、辛かったからねぇ」

・・・・・・・・えーっっっ!!

そんなんアリですか?!?!

にほんブログ村 子育てブログへ ポチッっとしてくれると嬉しいです!

嫁が妊娠して変わったオイラの生活

その1
嫁のツワリが始まり、機嫌が悪くなった・・・。

その2
嫁の嗅覚が鋭くなり、好きなコーヒーを飲むと、嫁に睨まれるようになった・・・。

その3
嫁の行動力が落ち、掃除全般がオイラの役目になった・・・。

その4
嫁のストレス発散に蹴飛ばされるようになった。
(あっ、これは以前から少しはあったなぁ・・・)

その5
そんな嫁を、今までよりちょっと大事にするようになった・・・・。(;^ω^A テレテレ ヾ(-д-;)ぉぃぉぃ

にほんブログ村 子育てブログへ ポチッっとしてくれると嬉しいです!

色々と前後しますが、妊娠発覚時の話を。
 
不妊対策の第一歩として、基礎体温を測り続けていた嫁。
毎朝の検温が日課となってたわけですが、ある日「2日ほど前からいつもと違う感じ」だと言い出す・・・。
 
妊娠したかも・・・!
 
今までも、生理がいつもと違うから妊娠したかも?!
なんて感じで結果は空振り・・・だったので、またいつもの事か・・・。
っと、思っていたのですが、市販の検査薬でも陽性の反応。
 
んー、これっていよいよ・・・♪
 
早速、翌日病院に。
結果は・・・・・。出来ましたぁぁぁぁっ!
 
っと、なったわけです。
 
しかし、面白いのはココからで、妊娠が確定した翌日から悪阻(つわり)が開始。
んー、妊娠したと分かったから、ツワリが始まったの??
ってな感じに。
 
一般的にそうなのか?気分的なものなのか…?
とにかく、ツワリが始まり、いよいよ本格的に妊娠生活に実感が沸いてきたのです。

にほんブログ村 子育てブログへ ポチッっとしてくれると嬉しいです!

≪ Back   Next ≫

[42] [43] [44] [45] [46] [47] [48]

Copyright 僕、パパになります?  ~写真日記録~ All Rights Reserved.
忍者ブログ [PR]