忍者ブログ
僕パパになります?
男の育児をだらだらと・・・
GOOD ITEM
GOOD ITEM

[プレスブログ]価値あるブログに掲載料をお支払いします。

PROFILE
HN:
たんたん
性別:
男性
自己紹介:
新潟の佐渡島にて育児にアタフタ

娘:のんのん
'07/10/18生まれの癇癪持ち

息子:ハル
'08/12/23 天皇誕生日生まれ

使用機器
ニコン D70
Nikon Ai AF Nikkor 50mm F1.8D
 
Nikon Ai AF Nikkor 35mm F2D
Nikon Ai AF Nikkor 24mm F2.8

SEARCH
CALENDAR
12 2026/01 02
S M T W T F S
1 2 3
4 5 6 7 8 9 10
11 12 13 14 15 16 17
18 19 20 21 22 23 24
25 26 27 28 29 30 31
amazon
×

[PR]上記の広告は3ヶ月以上新規記事投稿のないブログに表示されています。新しい記事を書く事で広告が消えます。

にほんブログ村 子育てブログへ ポチッっとしてくれると嬉しいです!

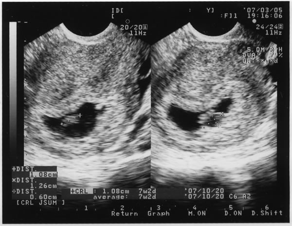
070305.jpg





















3月上旬、嫁がエコー写真なる物を持って来る。
何だか塊状の物が写っているだけ・・・。

心臓も、頭も出来上がっていない状態なのだとか。 ふむふむ。

数字を見ると、1.8cm・・・ちっさーぁぁぁぁい
指の先くらいの大きさやね。

でも、目に見える我が子との初対面に、じーぃぃぃぃん となる。

「こんにちは、赤ちゃん、私がパパよ~~~~♪」
っと、鼻歌を口ずさむ横で、 「古っ!」っとつぶやく嫁


大きなお世話だいっっ!(○゜3゜)
PR

にほんブログ村 子育てブログへ ポチッっとしてくれると嬉しいです!

まずは、オイラ達のことを簡単に。

共に35歳、母、祖母と暮らす田舎の家族。
長男の嫁として嫁いできた嫁と、結婚して1年ちょっと・・・と言う状況です。

田舎の長男の嫁ともなれば、跡継ぎを期待される存在。
結婚して1年ともなると(実際にはフライング気味に子作りを始めて2年ほど・・・(笑))、周りからは「赤ちゃんはまだ??」なんて、いらないプレッシャーが掛かったりする訳です。

オイラ的には、それほど重要視してなかったんだけど、嫁的にはかなーり重要だったらしく、色々と相談されていたのです。


その1つ、嫁は以前、何らかの診断の時に卵管が片方詰まっていたらしく、また詰まってるようなら妊娠の確率が半分なんだよなぁ・・・、とのこと・・・ふむふむ。

それに、35歳と言う年齢。
最近では、30代で出産と言うのは多くなってきてるとは思うのだけれど、やはり若いに越したことはないのだとか・・・ふむふむ。


"出来ちゃった"で悩むこともあれば、"出来ない"で悩むこともあり。 人生色々です。

にほんブログ村 子育てブログへ ポチッっとしてくれると嬉しいです!

嫁が妊娠しました。

嫁の妊娠発覚が2月下旬。

それからと言うもの(いや、それ以前からだけど・・・)、アタフタと右往左往の毎日です。
そんなオイラの日常をブログに綴っていきたいと思います。

しかし、無事パパとなる事が出来るのか・・・。
ウキウキと不安が半々って感じです。

にほんブログ村 子育てブログへ ポチッっとしてくれると嬉しいです!

 Next ≫

[43] [44] [45] [46] [47] [48]

Copyright 僕、パパになります?  ~写真日記録~ All Rights Reserved.
忍者ブログ [PR]