忍者ブログ
僕パパになります?
男の育児をだらだらと・・・
GOOD ITEM
GOOD ITEM

[プレスブログ]価値あるブログに掲載料をお支払いします。

PROFILE
HN:
たんたん
性別:
男性
自己紹介:
新潟の佐渡島にて育児にアタフタ

娘:のんのん
'07/10/18生まれの癇癪持ち

息子:ハル
'08/12/23 天皇誕生日生まれ

使用機器
ニコン D70
Nikon Ai AF Nikkor 50mm F1.8D
 
Nikon Ai AF Nikkor 35mm F2D
Nikon Ai AF Nikkor 24mm F2.8

SEARCH
CALENDAR
12 2026/01 02
S M T W T F S
1 2 3
4 5 6 7 8 9 10
11 12 13 14 15 16 17
18 19 20 21 22 23 24
25 26 27 28 29 30 31
amazon
×

[PR]上記の広告は3ヶ月以上新規記事投稿のないブログに表示されています。新しい記事を書く事で広告が消えます。

にほんブログ村 子育てブログへ ポチッっとしてくれると嬉しいです!

ただ今妊娠5ヶ月中の嫁のお腹。

嫁は職場で、「もうちょっとで産まれそうそうだねぇ♪」っと話掛けられるんだよねぇ・・・っとのこと。
妊娠5ヶ月としては、かなり大きいらしいです。

っと言っても、妊娠するちょっと前から、大きくなってたんですけどねぇ・・・。
妊娠する前から、「予定日はいつ頃??」なんて言われてましたから。( ̄w ̄) ぷっ


っで、そのお腹、ちょっと前まではプヨプヨっとした感触だったんですが、今日触ってみたら、かなりしっかりとした張り具合になってまして、「おー!この中でしっかり大きくなってるんだー!!」っと実感出来る具合に。


そんなこんあで、エコーなんかでは感じる事が出来ない、現実的な感触にジーンとなってます。


昔は、結婚すれば元気な赤ちゃんが出来る・・・なんて思ってたけど、いざ自分のことになると、ちょっとの事がドキドキで、ちょっとの事が感動です。
PR

にほんブログ村 子育てブログへ ポチッっとしてくれると嬉しいです!

なんでも、ストレスは胎教に良くないらしい・・・。
イライラした妊婦からは、イライラした赤ちゃんが生まれるらしい・・・。


っと言う理由で、仕事で疲れて帰ってきたオイラのお尻に蹴りを入れてきた嫁


うそーーん(T^T)


これって、ドメスティックバイオレンスってやつなんじゃ・・・?
家庭崩壊の危機なのでは??

なんて言葉が頭の中を駆け巡ったオイラ。
・・・・んー、マイベイビーの為だ、頑張れオイラ!!



しかし、蹴りを入れたあとの嫁の晴れ晴れとした顔と言ったら・・・┐( ̄ヘ ̄)┌ 

先日見に行った長谷寺の牡丹祭り















先日見に行った牡丹祭り

にほんブログ村 子育てブログへ ポチッっとしてくれると嬉しいです!

まだ見ぬ赤ちゃんの性別、あなたは知りたい派ですか?

オイラは知りたいような・・・、知りたくないような・・・。


っと思っていると、嫁が面白いことを聞いてきた。
なんでも、お腹が尖った感じになると男の子!
妊婦の顔つきが変わると男の子!! だと言うことらしい・・・ふむふむ。

最近職場で、顔つきが変わったと言われるらしい嫁。
そして、お腹は尖った感じに膨れてる・・・・・・・。


これって・・・・男の子?


オイラの家族は、オイラの母、祖母、嫁、2人の妹(別暮らし)、っと言う女系家族。
長男なのに一番肩身の狭い存在・・・ヾ(-д-;)ぉぃぉぃ

ココは、なんとしてでも味方が欲しいのだが・・・・。


っと嫁に話すと、「男の子だからって味方になるとは限らないけどね。 ( ̄ー ̄)ニヤリッ」


(´Д`|||) ドヨーン

にほんブログ村 子育てブログへ ポチッっとしてくれると嬉しいです!

いつも寝ながらヨダレを垂らしてるオイラ。
事ある毎に、嫁にそのことを言われるのであるが、寝てるんだから直しようが無い・・・うん。

でも、そう言う嫁だって、寝てる時に万歳の格好になってるじゃん!
しかも、ちょっと肘曲げ気味で、オイラに肘打ちするじゃんか!!

っとお互いに、寝てる時の癖を罵り合い。


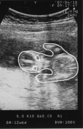
だったけど、この前衝撃映像が!!
エコー写真を持って帰ってきた嫁。 
嫁  「んー、やっぱ親子だわ・・・」
オイラ「んっ?何が」

070418_2.jpg























うわっ!
一緒の寝姿に爆笑!!



でも、ちょっと羨ましいぜ・・・くそっ!

にほんブログ村 子育てブログへ ポチッっとしてくれると嬉しいです!

まだ見ぬ赤ちゃん。
お腹の中で少しずつ成長する赤ちゃん。

赤ちゃん・・・・。

なんか、赤ちゃんって違和感が・・・。

って事で、名前をつけることにしました。

向日葵ちゃん はい、決定!

himawari01.jpg
















早速嫁に報告。 
嫁 「なんで秋産まれなのに向日葵なの?」
嫁 「男か女か分からないのに向日葵??」
嫁 「画数とか大事なんだけど、ちゃんと見たの???」

っと言うことで、はい、却下!! (´Д`|||) ドヨーン

向日葵みたいに明るい子って事でイイじゃんかぁ・・・っと、無駄な抵抗を試みるも却下。



・・・・・じゃぁさぁ、産まれるまでの間だけでも向日葵ちゃんで!!
っと言うことで、産まれるまでの間限定と言う変な名前が決定しました。(○゜ε^○)v ィェィ♪

向日葵ちゃん、元気に生まれてこいよ~~♪

にほんブログ村 子育てブログへ ポチッっとしてくれると嬉しいです!

≪ Back   Next ≫

[39] [40] [41] [42] [43] [44] [45] [46] [47] [48]

Copyright 僕、パパになります?  ~写真日記録~ All Rights Reserved.
忍者ブログ [PR]